SIGNA™ Hero 3T MRI scanner – This one’s for you

Meet SIGNATM Hero, the newest member of our 3T magnetic resonance imaging scanner portfolio. This MRI hero can help you, the true heroes of radiology, do what you need to do.
At a glance

An enhanced experience

For both clinicians and patients - improve efficiency, comfort, and workflow

Exceptional image quality

Achieve sharper MRI scans with our pioneering deep-learning AI algorithms

Unmatched productivity

Streamline even the most challenging of clinical schedules

Committed to sustainability

Choose a more environmentally friendly MRI system

What makes SIGNA™ Hero 3T a hero?

Built to handle the toughest challenges, SIGNA™ Hero 3T MRI scanner can help improve patient outcomes, reduce clinician burden, and make difficult magnetic resonance imaging exams simpler.
FEATURES

Built for any challenge

The SIGNA™ Hero 3T MRI scanner is a 70 cm bore MR scanner designed to make your daily practice run smoother.
FOR CLINICIANS AND PATIENTS

An enhanced experience

SIGNA™ Hero improves the scanning experience for both you and your patients. Our deep-learning reconstruction algorithm, AIR™ Recon DL, and intelligent applications such as AIR x™ and AIR Touch™ ensure both challenging and routine examinations can be completed more efficiently so your patients spend less time on the table.

A large 70 cm bore gives patients more room and, combined with unique blanket-like AIR™ Coils, scanning is less cumbersome. AIR™ Coils also enable larger clinical coverage for whole-body workflows. That means fewer adjustments and more clinical exams.
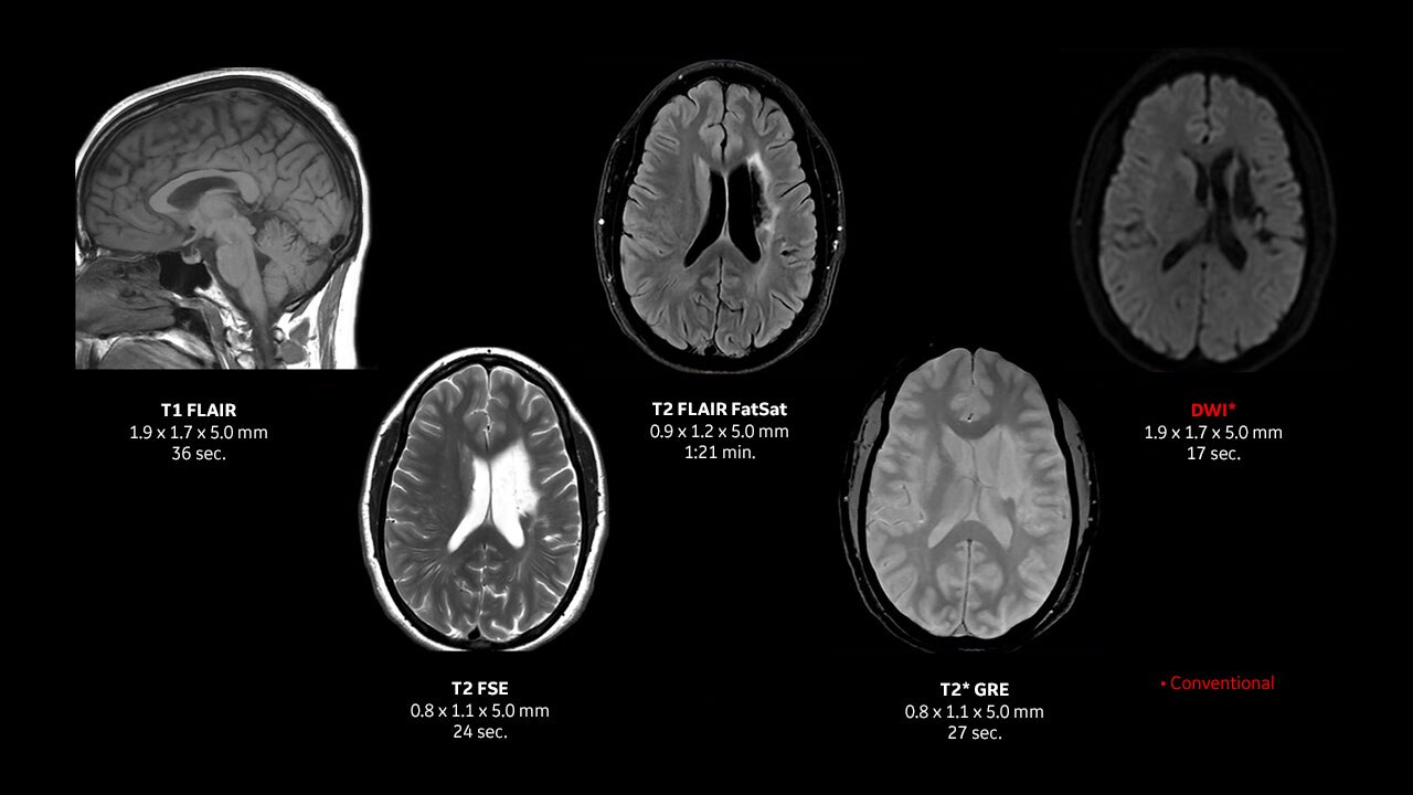
FOR SHARPER SCANS

Exceptional image quality

Clearer images mean easier diagnoses, and with our industry-leading deep-learning technology, AIR™ Recon DL, you can achieve exceptional images faster. It revolutionizes the way you view MR images, ensuring the sharpest results for a broad range of anatomies.

You can also be more confident in the images you acquire with easy-to-read, high quality scans that may also reduce eye fatigue, making report-outs a better overall experience.
FOR DAILY PRACTICE

Unmatched Productivity

Streamline even the most challenging department schedules with SIGNA™ Hero. AIR™ Coils and AIR™ Recon DL enable you to carry out end-to-end clinical solutions in areas such as breast and prostate cancer exam as part of mainstream clinical practice.

You can also access our digital ecosystem Edison™ Imaging 360, which provides you with immediate assistance from clinical radiology experts. You can seamlessly update and manage department protocols, and receive actionable insights to optimize your daily operations.
FOR THE ENVIRONMENT

Committed to sustainability

SIGNA™ Hero uses intelligent magnet technology which is 1.4x more efficient than previous models. It also uses 67% lower helium and weighs 2.0 tons less than the previous generation magnet.* Our magnets are also part of the GE Continuum™, meaning your GE magnet stays current for multiple product generations through the SIGNA™ Evo, SIGNA™ Contiuum™ and SIGNA™ Lift programs.

With built-in sleep mode to conserve energy and the ability to reduce power consumption through reduced scan time of up to 50% with AIR™ Recon DL, SIGNA™ Hero is a sustainable investment you can feel good about.
BROCHURE

Explore the SIGNA™ Hero 3T MRI scanner

See how SIGNA™ Hero can assist your radiology teams and enhance patient experience.

Download
* Based on Hero 3T data on file (2021).
† Based on AIR™ Recon DL data on file (2019).
‡ AIR™ Recon DL PROPELLER and 3D are 510(k) cleared in the USA. Not CE Marked, not available for sale in all regions.
§ Simply better compared to conventional coil technology.
SIGNA™ Hero is 510k cleared in the USA and CE marked in EU. Not available in all markets.

Learn more about SIGNA™ Hero 3T MRI scanner

JB01421CA